
Partner pro Vaši digitálnístomatologickou praxi
S Vaším IO skenerem si rozumíme:

Méně administrativy, více času pro pacienty.Představujeme EZLab – aplikaci, která Vám usnadní život.
Prozkoumat výhody
S Vaším IO skenerem si rozumíme:

Můžeme Vám poradit? Můžeme Vám s něčím poradit? Dobrý den, můžeme Vám s něčím poradit? Dobrý den, těší nás, že jste navštívil/a naše stránky. Můžeme Vám s něčím poradit? Dobrý den, těší nás, že už jste několikrát navštívil/a naše stránky. Můžeme Vám s něčím poradit?
14 let zkušeností v digitální stomatologii
Přes 81 000 zpracovaných skenů
Dodací lhůty
Od předání otisků/skenu, až po doručení hotové práce do Vaší ordinace.
7 pracovních dní
3 pracovní dny
2 - 4 pracovní dny

Ondřej Kudera, MSc
výkonný ředitel
Jednotné dodací lhůty i ceny.
Jedna aplikace pro všechny typy zakázek
Objednávky nyní přijímáme výhradně přes aplikaci EZlab. Zapomeňte na papírování - zaregistrujte se a mějte přehled o Vašich objednávkách na jednom místě.

Digitální data (IOS)
Snadné nahrání dat z IOS
Přehledná komunikace s laboratoří
Rychlé zadání bez papírování
Všechny termíny pod kontrolou

Klasické otisky
Objednání svozu přímo v aplikaci
Vše online bez telefonování
Brno: Svoz zajišťuje náš řidič
ČR a SK: Kurýr do druhého dne
Pro objednání svozu, zadání objednávky nebo nahrání dat je nutné přihlášení.
Precizní fixní náhrady
Vyzkoušejte plně digitální CAD/CAM výrobu
Korunky a můstky
Implantáty
Ostatní
Indikace materiálů
Kvalita? Vždy vysoká!
Inovativní výroba pomocí 3D tisku, frézování a laserového sintrování Vám zaručuje vysokou a stálou ůroveň jakosti.
Více o výrobě
Špičkové materiály
Správná indikace materiálu je stejně důležitá jako jeho kvalita. Spolehnětě se na naše dlouholeté zkušenosti, vždy Vám poradíme jaký materiál je pro Váš konkrétní případ nejvhodnější.

Zkušenost a pečlivost
Za každým zubem chceme vidět spokojeného pacienta, dbáme proto na každý detail.




Poradíme Vám, jak můžete jednoduše zdokonalit digitální otiskování.
Kvalitní digitální otisk je začátek. My jej proměníme v maximálně přesnou, funkční a estetickou práci.

Poradíme Vám jak na to!
Specializujeme se na fixní protetiku. Práce na implantátech jsou pro nás rutina. Hravě si poradíme i se složitějšími řešeními jako jsou Brånemark či hybridní můstky. Podívejte se do galerie na některé naše práce.

zirkon vrstvený
Zirkon vrstvený

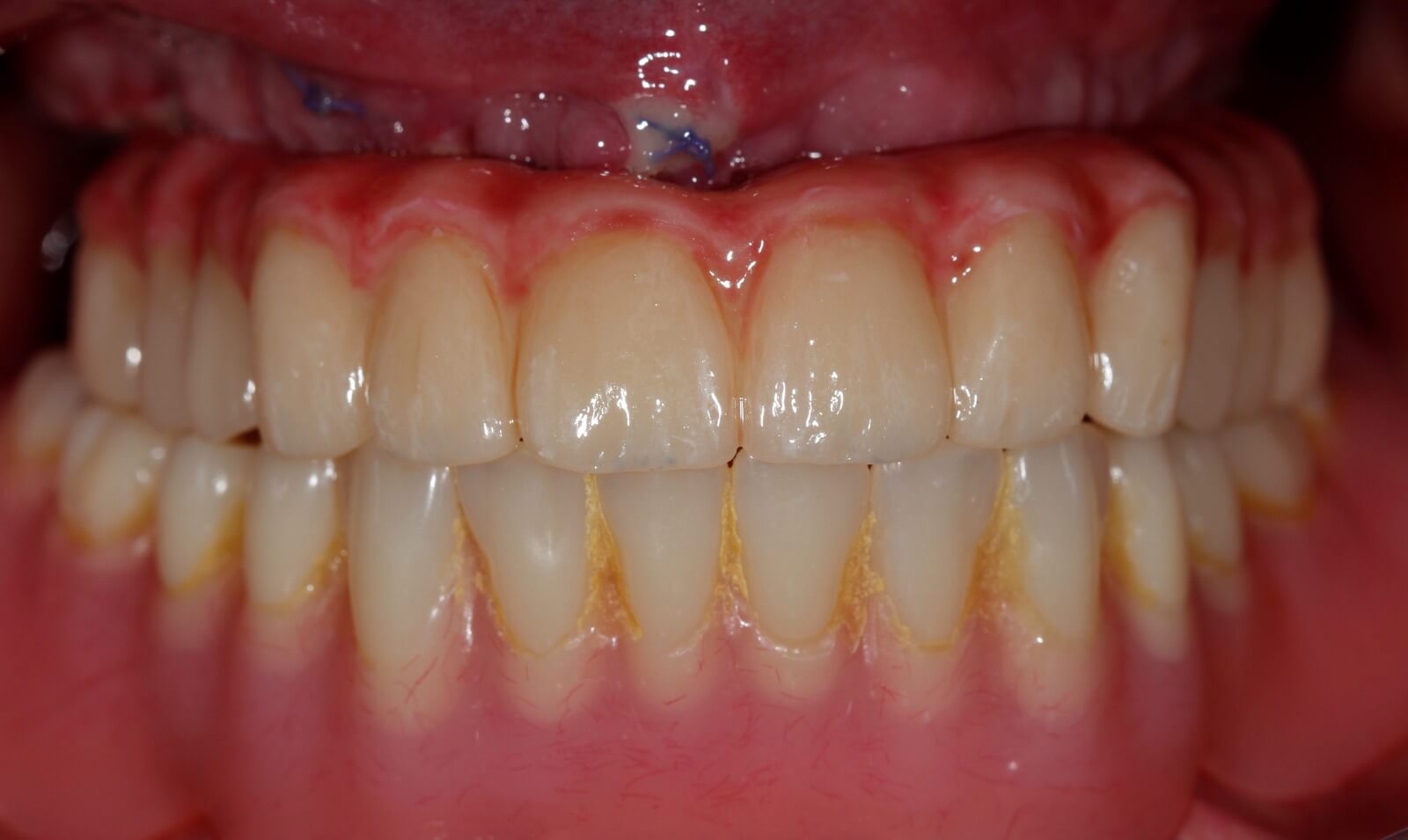
Vestibulárně fazetovaný zirkon 11
Zirkon vestibulárně fazetovaný, zub 11

e.max
sólo korunky ve frontálním úseku

zirkon vrstvený
zub 21 na zirkonovém abutmentu

Fazety + korunky Zirkon BL1
Zirkonové fazety + korunky BL1

MK
Metalokeramika

Branemark
Provizorní All-on-4 řešení

Zirkon korunky a můstky
Zirkonové korunky a můstky anatomické

Výroba sintrovaných CoCr prací
CoCr pod metalokeramiku

Brånemark
nesený na LASAK implantátech

All-on-4 provizorium
Provizorní branemarkův můstek na 4 implantátech

Brånemark
kompletní HČ, sólo korunky